| 别名 | ;['N', '-[(', 'S', ')-1-Ethoxycarbonyl-3-phenylpropyl]-', 'L', '-alanyl-', 'N', '-(2,3-dihydroinden-2-yl)glycine Hydrochloride'] |
盐酸地拉普利
Delapril Hydrochloride (订货以英文为准)
编号:D154264
CAS号:83435-67-0
分子式:C26H33CLN2O5
分子量:489.00
| 产品名称 | Delapril Hydrochloride |
| 中文名称 | 盐酸地拉普利 |
| CAS号 | 83435-67-0 |
| 分子式(M.F.) | C26H33CLN2O5 |
| 分子量(M.W.) | 489.00 |
| 储存条件 | -20°C储存 |
| WGK德国 | 3 |
| 闪点(摄氏) | 49 °C |
技术规格
| Background: | The protein encoded by this gene is a molecular chaperone that is a member of the chaperonin containing TCP1 complex (CCT), also known as the TCP1 ring complex (TRiC). This complex consists of two identical stacked rings, each containing eight different proteins. Unfolded polypeptides enter the central cavity of the complex and are folded in an ATP-dependent manner. The complex folds various proteins, including actin and tubulin. Two transcript variants encoding different isoforms have been found for this gene. |
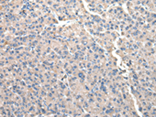
| Applications: | WB, IHC |
| Name of antibody: | CCT2 |
| Immunogen: | Fusion protein of human CCT2 |
| Full name: | chaperonin containing TCP1, subunit 2 (beta) |
| Synonyms: | CCTB; 99D8.1; PRO1633; CCT-beta; HEL-S-100n; TCP-1-beta |
| SwissProt: | P78371 |
| IHC positive control: | Human liver cancer and Human breast cancer |
| IHC Recommend dilution: | 25-100 |
| WB Predicted band size: | 58 kDa |
| WB Positive control: | MCF7 and K562 cell |
| WB Recommended dilution: | 200-1000 |
搜索质检报告(COA)
搜索MSDS
相关产品










小艺 