| 沸点 | 120 °C |
| 熔点 | -87 °C |
| 折光率 | 1.426 |
| 密度 | 0.7730 |
| 应用 | 1,4-Dimethylcyclohexane (mixture of cis and trans) has been used to study the absorption of ultrasonic waves that can be measured by a reverberation technique. |
| 别名 | 六氢对二甲苯 (顺反混合物);对二甲基环己烷 (顺反混合物);Hexahydro-p-xylene (cis- and trans- mixture) |
1,4-二甲基环己烷(顺反异构体混合物)
1,4-Dimethylcyclohexane (cis- and trans- mixture) (订货以英文为准)
编号:D155234
CAS号:589-90-2
分子式:C8H16
分子量:112.21
| 产品名称 | 1,4-Dimethylcyclohexane (cis- and trans- mixture) |
| 中文名称 | 1,4-二甲基环己烷(顺反异构体混合物) |
| CAS号 | 589-90-2 |
| 分子式(M.F.) | C8H16 |
| 分子量(M.W.) | 112.21 |
| Reaxys-RN | 1900349 |
| 信号词 | Warning |
| 危害声明 | H226 |
| 个人防护设备 | Eyeshields, Faceshields, full-face respirator (US), Gloves, multi-purpose combination respirator cartridge (US), type ABEK (EN14387) respirator filter |
| WGK德国 | 2 |
| 闪点(摄氏) | 30°C(lit.) |
| 是否危化品 | 一般危化品 |
技术规格
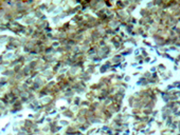
| Background: | Smad3 encoded by this gene belongs to the SMAD, a family of proteins similar to the gene products of the Drosophila gene 'mothers against decapentaplegic' (Mad) and the C. elegans gene Sma. SMAD proteins are signal transducers and transcriptional modulators that mediate multiple signaling pathways. This protein functions as a transcriptional modulator activated by transforming growth factor-beta and is thought to play a role in the regulation of carcinogenesis. |
| Applications: | WB, IHC, IF |
| Name of antibody: | SMAD3(Ab-425) |
| Immunogen: | Synthetic peptide of human SMAD3(Ab-425) |
| Full name: | SMAD family member 3 |
| Synonyms: | LDS3; LDS1C; MADH3; JV15-2; HSPC193; HsT17436 |
| SwissProt: | P84022 |
| IHC positive control: | Human breast carcinoma |
| IHC Recommend dilution: | 50-100 |
| WB Predicted band size: | 48 kDa |
| WB Positive control: | HT29 and Hela cells lysates |
| WB Recommended dilution: | 500-1000 |
| IF Positive control: | Hela cells |
| IF Recommended dilution: | 100-200 |
搜索质检报告(COA)
搜索MSDS
相关产品










小艺 